Tests & procedures

Dr Shah can perform or arrange following tests and procedures for you as indicated, following your clinical assessment.

Cardiac defibrillators implantation

 

A small pacemaker like device implanted under skin with leads going in the heart through veins, for those at high risk of life-threatening rhythm problems. Visit BHF booklet

Biventricular pacemaker / defibrillator implantation

A device implanted for patients with weak heart pump function (heart failure) and weak electrics.

Visit BHF booklet

CT Coronary angiography

 

An invasive procedure to look at heart arteries to investigate and potentially treat coronary heart disease with stents.
Visit BHF booklet

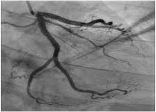
Coronary Angiography

An invasive procedure to look at heart arteries to investigate and potentially treat coronary heart disease with stents.
Visit BHF booklet

Transoesophageal echocardiogram

An invasive procedure to look at heart arteries to investigate and potentially treat coronary heart disease with stents.
Visit BHF booklet

Cardiac surgery

Most common reason for heart surgery is coronary heart disease or heart valve problem.

Visit BHF booklet